Missing Oakland County 25-year-old seen getting in car
A Ring camera caught the moment a man identified as 25-year-old Andrew Woods got into a car. He hasn't been seen since.
Push for electric bike safety after teen killed in crash
23-year-old Alexis Williams was in serious pain as she could not use her leg. It all stemmed from a trip to the Residence Inn in downtown Ann Arbor where she and her little cousins swam on June 24.
Detroit Curfew Crackdown: City Council triples fines for parents
Big changes are coming for parents of Detroit children caught out past curfew, and it's going to hit their wallets even harder. City Council is amending the law after a rash of shootings have left several kids dead or with life-changing injuries this summer.
Detroit increases fine for teen curfew violations
Detroit city leaders say they're tired. They say they're tired of grieving the number of kids shot or killed just this month, and they're hoping a change in the juvenile curfew ordinance helps.
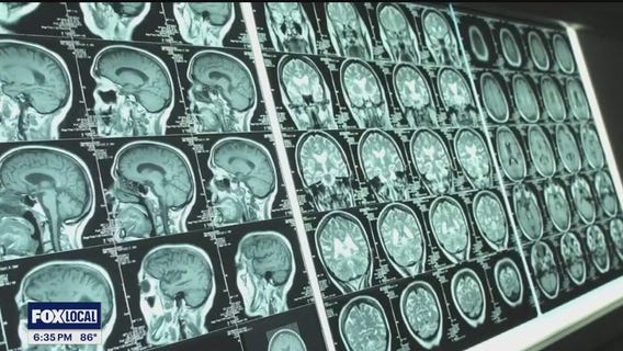
NYC mass shooter's note claimed CTE; doctors explain condition
Manhattan gunman Shane Tamura killed four people, then himself Monday, with a note claiming he suffered from CTE. Metro Detroit doctors break down the condition and its effects.
After random attacks in NY, Traverse City, sheriff shares safety tips
He says in both cases its important people practice situational awareness.
Detroit fireworks shooting suspect bound over for trial
Alphonso Cooper, Jr., 19, will head to trial for the shooting at the Detroit fireworks show in late June.
Monday's flooding leads to trash trouble in St. Clair Shores
Residents were dealing with a mess following flooding yesterday, combined with trash pickup today.
Eastside Detroiters want Travel Inn shut down
Neighbors near Travel Inn on Detroit's east side say the motel is a haven for drug deals and sex trafficking but motel owners say they don't allow things like that.
Thirteen-year-old girl shot and killed at Canton apartment complex
Police have taken the teen's 21-year-old brother into custody Tuesday.
Canton 13-year-old girl killed in shooting
Canton police give an update on Tuesday's shooting that killed a teen girl.
Floodwaters recede around Metro Detroit after storms pound region
It was a wet Monday with some regions getting more than 5 inches of rain in Southeast Michigan. While some avoided driving through the standing water, others got stuck - making for a busy day for tow truck drivers.
Should Michigan power companies participate in political process?
Michigan Attorney General weighed in for the first time on a petition calling to keep DTE and Consumers Energy from participating in the political process. She won't give a formal opinion as a state employee, but as a private citizen, she supports the measure.
Rain floods streets in St. Clair Shores
Streets were flooded throughout St. Clair Shores. Parts of I-94, main streets and side streets all dealt the brunt of the afternoon rains. FOX 2 saw multiple vehicles who tried their luck in the high water and learned a lesson the hard way.
Family shares their sorrow remembering 6-year-old killed in drive-by
The family of Rylee Love is sharing memories of what the young boy was like before he was tragically killed in a random drive-by while inside his home.
Nessel weighs in on grassroots effort to stop political donations by energy companies
The giant utilities argue they have a right to participate in the political system. And since none of the contributions come from rate payers, they will fight this.
Detroit police seek suspect in shooting that killed 1, wounded 3
A suspect remains at large after a Marathon gas station shooting on Detroit's west side in the early morning hours of Monday.
Highland Park residents fed up with flooding after water main break
Highland Park leaders say work on the very old infrastructure is underway, but some residents have had enough.
6-year-old boy killed in drive-by leaving family heart-broken
The tragedy took place as Rylee Love was waiting for his dad to come home.
Detroit fire crews and EMS honored for response to apartment explosion
Detroit Mayor Mike Duggan, Councilmember Fred Durhal, III, and the Detroit Fire Department ? among others ? hosted a ceremony to recognize the firefighters who saved the lives of 12 men, women, and children inside the apartment on Littlefield near Schoolcraft and Schaefer.



















