Florida reports over 10,000 new coronavirus cases Thursday in latest record; 67 new deaths
The Florida Department of Health says the number of known cases of COVID-19 in the state rose by 10,109 since yesterday morning as the virus spreads and as more people are tested across the state. The total number of cases in Florida is now 169,106.
The Florida Department of Health says the number of known cases of COVID-19 in the state rose by 10,109 since yesterday morning as the virus spreads and as more people are tested across the state. The total number of cases in Florida is now 169,106.
Alabama students throwing dangerous 'COVID parties,' Tuscaloosa city councilor warns
College students in Alabama who contracted the coronavirus have been attending COVID-19 parties over the past few weeks as part of a game to intentionally infect others, according to a city council member.
College students in Alabama who contracted the coronavirus have been attending COVID-19 parties over the past few weeks as part of a game to intentionally infect others, according to a city council member.
Texas couple married 53 years dies minutes apart while holding hands
An elderly couple in Texas reportedly died last week only 50 minutes apart from one other, while holding hands at a Fort Worth hospital, as each of them succumbed to complications from the novel coronavirus.
An elderly couple in Texas reportedly died last week only 50 minutes apart from one other, while holding hands at a Fort Worth hospital, as each of them succumbed to complications from the novel coronavirus.
President Trump supports new round of direct coronavirus payments
President Trump also said he wants payments larger than the $1,200 the government sent to most individuals earlier this year.
President Trump also said he wants payments larger than the $1,200 the government sent to most individuals earlier this year.
Closing bars to stop coronavirus spread is backed by science
Authorities are closing honky tonks, bars and other drinking establishments in some parts of the U.S. to stem the surge of COVID-19 infections.
Authorities are closing honky tonks, bars and other drinking establishments in some parts of the U.S. to stem the surge of COVID-19 infections.
Color-coded interactive map illustrates COVID-19 risk level by county in US
A new COVID Risk Level map was introduced to the public to help communities better understand the level of risk when it comes to the spread of COVID-19 in their particular county or state.
A new COVID Risk Level map was introduced to the public to help communities better understand the level of risk when it comes to the spread of COVID-19 in their particular county or state.
Pool safety and COVID-19: what to know this summer
When it comes to COVID-19 compliant, swimming gets the okay from doctors and scientists - but there are some precautions you should take, still, to keep you and your family safe.
When it comes to COVID-19 compliant, swimming gets the okay from doctors and scientists - but there are some precautions you should take, still, to keep you and your family safe.
Groom dies of coronavirus, 100 others infected after wedding
More than 100 people who attended a wedding in India tested positive for coronavirus and the groom reportedly died two days after he was married.
More than 100 people who attended a wedding in India tested positive for coronavirus and the groom reportedly died two days after he was married.
Scam alert: DOJ, HHS, FTC warn of fake COVID-19 contact tracing schemes amid pandemic
The DOJ, HHS and FTC are warning the public of an emergence of contact tracing scams that attempt to steal money or sensitive information during the pandemic.
The DOJ, HHS and FTC are warning the public of an emergence of contact tracing scams that attempt to steal money or sensitive information during the pandemic.
Fauci: US could reach 100,000 new coronavirus cases a day 'if this does not turn around'
“We can’t just focus on areas that are having the surge, it puts the entire country at risk,” Fauci noted.
“We can’t just focus on areas that are having the surge, it puts the entire country at risk,” Fauci noted.
Planning to fly this summer? Here’s what you can expect during TSA screening at airports amid pandemic
Those who haven’t flown since March will notice some differences.
Those who haven’t flown since March will notice some differences.
Doctor demonstrates how face mask blocks respiratory droplets from spreading
One medical expert’s widely-shared Twitter thread demonstrates the effectiveness of wearing a facial covering amid a pandemic that is far from over.
One medical expert’s widely-shared Twitter thread demonstrates the effectiveness of wearing a facial covering amid a pandemic that is far from over.
Florida school district to spend $4 million on installing transparent screens in classrooms
A north Florida school district has voted to install transparent screens in classrooms in response to the coronavirus pandemic.
A north Florida school district has voted to install transparent screens in classrooms in response to the coronavirus pandemic.
'Literally hundreds of people present,' a warning from Oakland health officials about COVID-19 exposure
There were hundreds of people present with little social distancing at a Royal Oak bar on June 19. Oakland County's medical director is warning that many of them could have been exposed to COVID-19 and is urging people to be on the lookout for symptoms.
There were hundreds of people present with little social distancing at a Royal Oak bar on June 19. Oakland County's medical director is warning that many of them could have been exposed to COVID-19 and is urging people to be on the lookout for symptoms.
EU reopens borders to travelers from 14 countries, Americans still refused entry
The European Union announced Tuesday that it will reopen its borders to travelers from 14 countries, but most Americans have been refused entry for at least another two weeks due to soaring coronavirus infections in the U.S.
The European Union announced Tuesday that it will reopen its borders to travelers from 14 countries, but most Americans have been refused entry for at least another two weeks due to soaring coronavirus infections in the U.S.
How risky is flying during the coronavirus pandemic?
Flying can increase your risk of exposure to infection, but airlines are taking precautions and you can too.
Flying can increase your risk of exposure to infection, but airlines are taking precautions and you can too.
More than 200 Planet Fitness gym-goers asked to quarantine after 1 tests positive for COVID-19
Members who visited the Planet Fitness location in Morgantown, West Virginia are being asked to quarantine for at least two weeks.
Members who visited the Planet Fitness location in Morgantown, West Virginia are being asked to quarantine for at least two weeks.
New Ford Promise program lets you return car if you lose job during pandemic
Ford Motor Company is allowing customers to return a new or leased car within one year of purchase if you face financial hardship due to loss of employment.
Ford Motor Company is allowing customers to return a new or leased car within one year of purchase if you face financial hardship due to loss of employment.
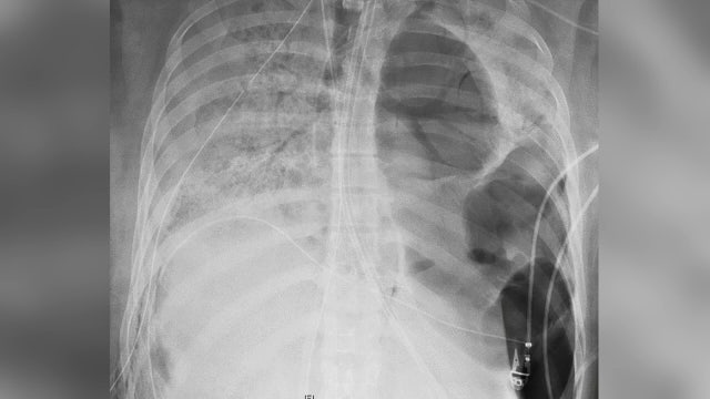
COVID-19 damages lungs of asymptomatic and most severe patients alike, scientists believe
The medical examiner for Pinellas and Pasco County has a warning for people not taking this pandemic seriously.
The medical examiner for Pinellas and Pasco County has a warning for people not taking this pandemic seriously.
How small towns are responding to the global coronavirus pandemic
The pandemic has increased local leaders’ attention to their residents’ health – not just in terms of doctors and hospitals but also identifying new ways to help people get fitter, spend more time outdoors, eat healthier and boost local economies.
The pandemic has increased local leaders’ attention to their residents’ health – not just in terms of doctors and hospitals but also identifying new ways to help people get fitter, spend more time outdoors, eat healthier and boost local economies.




















