What to know about fake eclipse glasses
Spectators are stocking up on eclipse glasses ahead of the April aerial spectacle, but one retailer is cautioning consumers to beware of counterfeit versions of the eyewear circulating online.
National Flower Day: Plant this "weed" to help the monarch butterfly population
March 21 is National Flower Day, and to celebrate, folks can plant some milkweed and start a pollinator garden to help the dwindling numbers of monarch butterflies.
Lunar eclipse happening ahead of April's total solar eclipse
A lunar eclipse always precedes or follows about two weeks before or after a solar eclipse.
Japan sent drones deep inside Fukushima; here's what they saw
Miniature drone images from deep within a severely damaged reactor at the Fukushima nuclear plant reveal displaced control equipment and distorted materials.
See images from NASA’s James Webb Space Telescope in new IMAX documentary
The documentary “Deep Sky” will be in select IMAX theaters across the country in April. Here’s how you can see it.
Scientists find these 5 Taylor Swift songs created biggest 'SwiftQuakes' at one concert
Taylor Swift sent shockwaves around the world in multiple ways with her devoted fans and packed Eras concert tour venues. She also has been setting off so-called SwiftQuakes and now scientists know why.
Charlotte the pregnant stingray captivates fans waiting for rare birth
Charlotte the stingray, who became pregnant in a North Carolina aquarium despite having no male to mate with, continues to captivate fans as they await her extremely rare delivery.
Solar eclipse 2024: Why wearing red or green could enhance your solar eclipse experience
Choosing the right colors to wear won’t just be about looking good – there’s a science behind the reason why experts say you should think about wearing red or green.
Spring 2024 starts Tuesday: What to know about the vernal equinox
The spring equinox is almost here. In the U.S., get ready for earlier sunrises and later sunsets until the summer solstice in June.
Coyote hunting season in Michigan shortened after recommendation from DNR
The contentious issue included a 4-2 vote in favor of shortening the hunting season after recommendations from the Department of Natural Resources.
NASA engineers have renewed hope to fix hobbled Voyager 1 after interstellar space data outage
The process of troubleshooting an issue with Voyager 1 traveling through interstellar space is complicated. It takes about 45 hours for commands to be sent and a response to come back, but NASA engineers recently got a new clue to solving the spacecraft computer issue.
Study reveals dogs can relieve stress, improve concentration in humans
A recent study published in the journal PLOS One suggests that certain activities might enhance individuals' brainwave patterns linked to rest and relaxation.
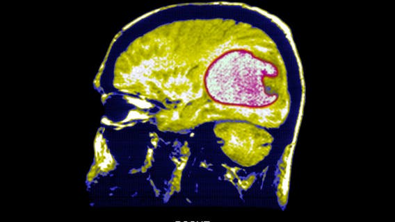
Scientists use new strategy to successfully shrink tumors in early brain cancer trials
Researchers converted immune cells from patients into "living drugs" with the ability to recognize and combat glioblastoma, a form of brain cancer.
'Devil comet' could become visible to the naked eye this month
Stargazers should check the sky to get a glimpse of 12PPons-Brooks which is heading toward its closest approach to the sun on its 71-year orbit.
Watch: Wildlife rehabber wears fox mask to feed rescued kit
Adorable video from a Virginia wildlife rescue center shows just how hard they work to make sure wild animals don't associate humans with food.
Beached whale dies after stranding itself off Venice coast: ‘It’s heartbreaking'
Officials are asking people to avoid Service Club Park beach in Venice after a sperm whale died after beaching itself on a sandbar about 150 yards offshore on Sunday.
Experienced surfer recounts 1st shark encounter in Hawaii: 'I was just in shock'
Experienced Hawaiian surfer Matthew White recounts his first shark encounter, despite 30 years of surfing, near Kaimana Beach.
Women in STEM: NASA administrator says 'come join us'
For the women who find themselves "a little obsessed" with space and wonder if there’s a career in it for you, NASA wants you to "come join us."
Strong solar flare sent blasting from Sun causing limited radio blackouts
Powerful solar flares can cause high-frequency radio blackouts, which was potentially recorded early Sunday morning.
The April solar eclipse is one month away: What to know now
The next solar eclipse should be visible from most of the U.S. Many people have started preparing already, but many more have not. Here’s what you need to know.



















