Carjacking suspect orders Lyft while trying to escape from police
A Lyft driver likely avoided becoming the third victim of a carjakcing suspect early Thursday morning as the suspect called for a ride while hiding from police.
Ceiling collapses on 93-year-old Dearborn woman, hospitalizing her
Family said they reached out to their landlord for help, but were told it was not their responsibility for the bizarre case.
Bodycam footage shows Dearborn Fire chief slurring words during traffic stop
Bodycam footage obtained by FOX 2 shows the moment the chief of Dearborn's fire department was arrested for alleged drunk driving.
Dearborn fire chief arrested for drunk driving, sources say
Dearborn Fire Chief Joseph Murray was arrested for drunk driving overnight, sources say.
Dearborn's historic 'Kingsbury Castle' goes up for sale
From the ornate living room to the brick fireplace to the elaborate chandeliers and original windows - but the 8,000-square-foot Tudor's most intriguing feature is the turret.
Hallowe'en in Greenfield Village: How to get tickets to annual event
It's almost time to get tickets for Greenfield Village's annual Halloween extravaganza.
Teens run out on $400 restaurant bill but turn selves in after police post video on Instagram
"They got lobster tails, snow crab, shrimp, there were four," said Red Sea owner Suhail Mohammed. "They had a good amount of food."
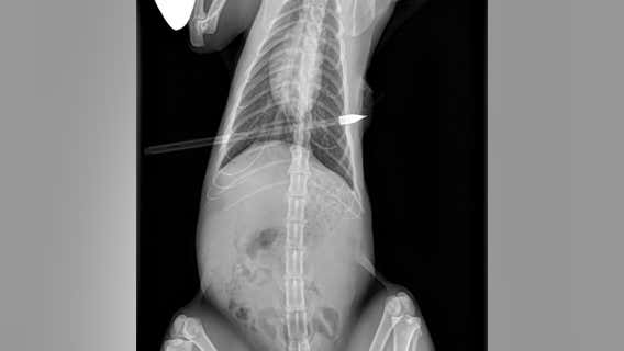
Cat found with arrow in it rescued by Dearborn police
There is a $1,000 reward for information that leads to the arrest and conviction of the perpetrator involved in the animal abuse.
Four men sought for vandalizing Dearborn course, doing donuts and wrecking grounds
The suspects caused thousands of dollars of damage at the historic Dearborn Hills Golf Course.
'Not today': Off-duty Melvindale police officer saves choking toddler in Dearborn
A Melvindale off-duty police officer heard his neighbors in a panic and jumped into action to save a little boy who was choking on his food. And his heroic actions were all caught on camera.
Dearborn Firefighters hailed as heroes for saving man in house fire
Members of the Dearborn Fire Department are being credited for their heroic actions when they saved an unconscious man from a burning home on Saturday.
Dearborn 12-year-old jiu-jitsu champion becomes 1st hijabi female to win gold at world tourney
”It felt so nice to know that I won and that I earned it," said Aaminah Abdrabboh.
'Respect the city as if it's your house': Dearborn mayor's online video urges to keep parks clean
If you wouldn’t to do this on your own backyard or on your front porch, why do you have to do it at a public playground where children come to play?" he said. "You should leave everything as you found it - nice and clean."
Natasha Bedingfield, Tenille Arts, more performing at Dearborn Homecoming this weekend
Natasha Bedingfield and Tenille Arts are among the Dearborn Homecoming performers.
Warren police catch serial burglars who posed as contractors to stake out empty homes
Two burglars who hit numerous homes in Oakland, Macomb, and Wayne counties were arrested by Warren police after a break-in Thursday in Dearborn.
12-year-old who was pushed off and robbed of bike in Dearborn gifted new one
The suspect also turned himself in after video of his assault went viral.
18-year-old shot fireworks at marked police cruiser over Fourth of July, police say
Dearborn police received more than 50 fireworks-related calls during the holiday. One run led to a fireworks exploding around a police cruiser.
Person of interest in custody after fatal Dearborn shooting
A 28-year-old man was shot and killed in Dearborn on Thursday.
Dearborn police targeted with mortar round on Fourth of July
A Dearborn Police Officer was targeted by a firework mortar on Tuesday as Fourth of July celebrations erupted throughout the city.
As stolen vehicle numbers surge, Wayne County launches auto theft task force
In Dearborn Heights for example, there have been 125 vehicles stolen just since the first of the year.



















